kocimokiem:
   #Kefirka i łapka - obrzęk i krwiak na wchłonięciu. niestety musi być nadal na hydroksyzynce, ponieważ zaczęła kopać w podkladzie higienicznym. chorą łapką
2016/10/29 12:29:44 przez www, 0
kocimokiem:
   hydroksyzynka i #Kefirka. Białe Zło oburczało mnie. albowiem PRZESTAŁAM GLASKAĆ.a co najwazniejsze - obgryziona łapinka pokryła się strupkami i robi się różowa. nie ma martwicy!!!
2016/10/28 14:41:27 przez www, 17
kocimokiem:
   trzeba być #Kefirka.ą, żeby w ramach walki z usztywnieniem na łapie zrobić sobie przemieszczenie kości strzałkowej, do tego wygryźć w 2 miejscach futro do krwi. tydzień na hydroksyzynce ma zapisany

Pobierz obrazek (80.6kiB)
2016/10/27 20:17:34 przez www, 0
kocimokiem:
   kolejny tydzień w klatce. łapka na razie uratowana. #Kefirka
2016/10/27 19:16:02 przez m.blabler, 10
kocimokiem:
   no dobra. trzymać proszę społeczne kciuki, coby nie padl pomysł amputowania łapki #Kefirka.ce #silablaba niech działa
2016/10/27 18:20:00 przez www, 3
kocimokiem:
   #Kefirka prawie zrosła sobie kość promieniową, natomiast kość łokciowa się nie zrasta. bo nie. na dodatek mamy w kości promieniowej martwiczak(a) (jaka forma jest prawidłowa). ale pogryziona własnozębnie łapka nie ma martwicy.
2016/10/27 13:11:08 przez www, 0
kocimokiem:
   jesteście ciekawi co u #Kefirka.i?
2016/10/27 13:09:20 przez www, 0
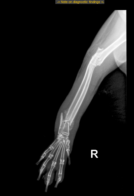
kocimokiem:
   dziękuję. to idę się umówić na rtg łapki #Kefirka.i
2016/10/27 08:29:54 przez www, 0
kocimokiem:
   a wiecie, że dopiero przedawkowanie hydroksyzyny nakłoniło tę cholerę do siedzenia w miejscy? #Kefirka
2016/10/26 20:08:12 przez www, 0
kocimokiem:
   ponieważ nie może być normalnie, to okazuje się, że #Kefirka.owa łapka źle reaguje na unieruchomienie i sinieje. więc musi zwierzyna bez usztywnienia łapki siedzieć, w klatce 30x60 cm. a jutro prześwietlenie
2016/10/26 19:33:28 przez www, 0
kocimokiem:
   rozczulili mnie dziś weterynarze, tak ślicznie mówią o #Kefirka.ce "nasza psychopatka przyszła". dzielne źwierzę zaczęło opatrunek obgryzać zaraz po włożeniu do przenioski. i od doktora Filipa usłyszała "Kefir, w ucho chcesz?"
2016/10/26 15:37:25 przez www, 11
perdo:
   [^kocimokiem] biedna Ty, biedna #kefirka
2016/10/26 15:17:29 przez m.blabler, 0
kocimokiem:
   a poza tym kolejna wizyta u weterynarza z #Kefirka.ą - kolejna zmiana usztywnienia, bo sobie uchata ściąga, zżera. 3 osoby do trzymania, jedna do bandażowania. #hejmakarena
2016/10/26 15:08:06 przez www, 0
kocimokiem:
   #Kefirka zaczęła jeść siano. uff
2016/10/20 08:30:23 przez www, 10
kocimokiem:
   #Kefirka znów do więzienia. zmiana opatrunku na usztywnienie sięgające aż za łokieć, ale za to niebieskie. pilnować mamy, żeby uchata nie dostała depresji, kontrolować ile zjada i ile wydala
2016/10/18 20:08:36 przez www, 0
kocimokiem:
   przymusowe zamknięcie w klatce wygenerowało u #Kefirka.i atak depresji. ponieważ w tym domu depresję to najwyżej mogę mieć ja, więc wypuściłam uchate. uchate zrobiło sobie norkę obok pudełka na papiery i tam zrasta łapkę
2016/10/18 14:47:40 przez www, 5
kocimokiem:
   no i zapomniałam o najważniejszej rzeczy. #Kefirka.ce goi się łapka. nie trzeba zmieniać opatrunku, jest czucie w paluszkach (Kefirka ugryzła lekarza, gdy sprawdzał). potem nastąpiło obcinanie paznokci, jeszcze 5 tygodni aresztu
2016/10/12 17:26:03 przez www, 5
kocimokiem:
   Białe Zło zamienia się w Białe "głaszcz mnie po przestrzeni międzuszkowej" Uchate. każde otwarcie klatki to oburczenie nas a potem nastawianie łepetyny do głaskania #Kefirka. jeszcze 5,5 tygodnia aresztu
2016/10/08 13:23:18 przez www, 1
kocimokiem:
   ufff. #Kefirka po dwóch dniach udawania zestresowanego bochenka chleba w końcu leży na boczku w klatce.
2016/10/07 15:52:41 przez www, 6
kocimokiem:
   zadzwonił Bartoszek (brat) z pytaniem "siostra,a ty ze złamaną łapą Białej Pasztetki (#Kefirka.i) byłaś u dobrego ortopedy od zwierząt?" <3
2016/10/07 12:33:46 przez www, 11
   Strona 1 »
Archiwa
Obserwujący (2)